62. 初診時年齢10歳8ヶ月 女児 只今2段階目保定中
- 前歯が咬まない(開咬)
- 受け口(下顎前突)
- 歯の凹凸(叢生)
2021年6月(10歳8ヶ月)
前歯のガタガタと舌足らずのような話し方が
気になるということで矯正スタートしました。
下顎前突で、発音時に空気が抜けてしまうため
舌足らずのような感じになってしまいます。
2021年8月(10歳11ヶ月)
7月からフェイシャルマスクを使って
上顎を引っ張ています。
もう少し歯ブラシ頑張ろう!
2021年10月(11歳1ヶ月)
頑張って装置を使っています。
効果はしっかり出ています。
上の糸切り歯も生えてきて八重歯になってきました。
気になるとは思いますが、今は顎のコントロールが優先です。
2021年12月(11歳3ヶ月)
引き続き、頑張って装置を使っています。
上下奥歯の関係も良くなってきました。
もう少し、効かせていきます。
歯磨きも頑張っています!
2022年1月(11歳4ヶ月)
上下奥歯の関係は良くなったので
ここで一旦装置をストップして様子を診ます。
身長の伸びと共に下顎は成長するので
また逆になる可能性はあります。
2022年7月(11歳10ヶ月)
只今経過観察中です。
状態は安定しています。
身長の伸びが落ち着いたら
本格的矯正治療が始まります。
2023年1月(12歳4ヶ月)
身長の伸びが落ち着いてきました。
ここから2段階目スタートします。
顎より歯が大きいことと開咬のため
歯を抜いて治療します。



ここからは同じ部位の写真をつなげていきます。
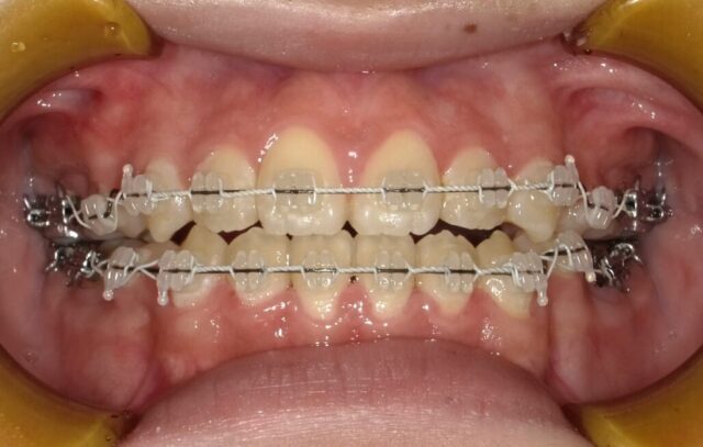
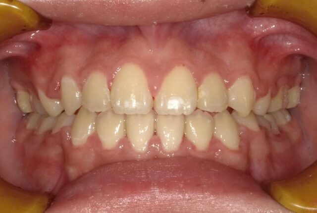
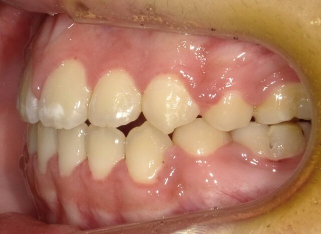
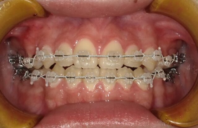
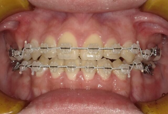
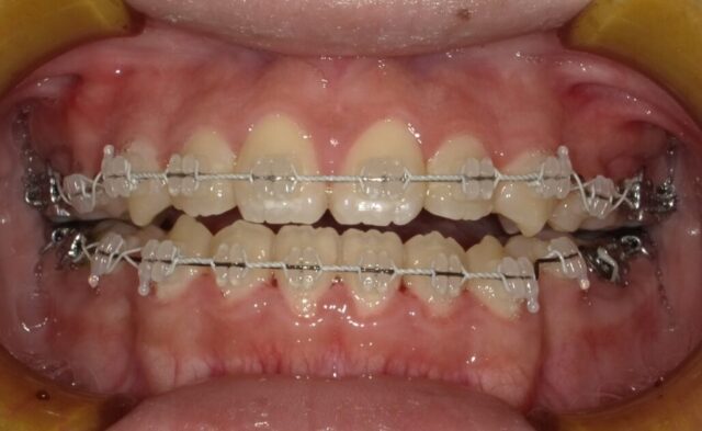
≪正面観≫
2023年5月
2023年6月
2023年7月
2023年8月
2023年9月
2023年10月
2023年11月
2023年12月
2024年1月
2024年2月
2024年3月
2024年4月
2024年5月
2024年6月
2024年7月
2024年8月
2024年9月
2024年10月
2024年12月
2025年1月
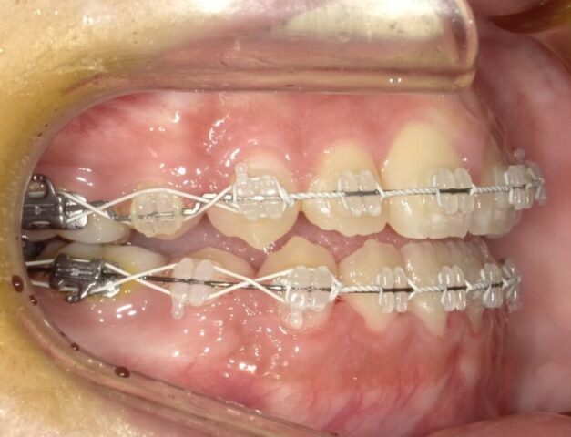
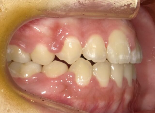
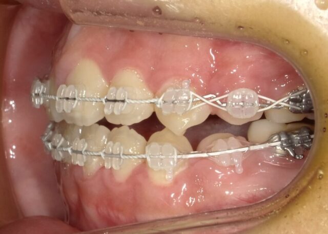
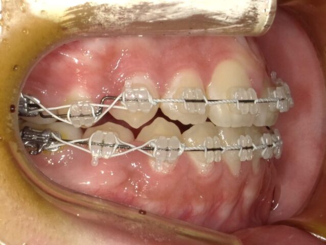
≪右側面観≫
2023年5月
2023年6月
2023年7月
2023年8月
2023年9月
2023年10月
2023年11月
2023年12月
2024年1月
2024年2月
2024年3月
2024年4月
2024年5月
2024年6月
2024年7月
2024年8月
2024年9月
2024年10月
2024年12月
2025年1月
≪左側面観≫
2023年5月
2023年6月
2023年7月
2023年8月
2023年9月
2023年10月
2023年11月
2023年12月
2024年1月
2024年2月
2024年3月
2024年4月
2024年5月
2024年6月
2024年7月
2024年8月
2024年9月
2024年10月
2024年12月
2025年1月
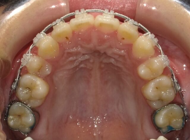
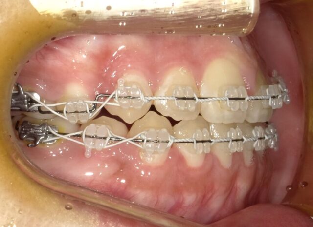
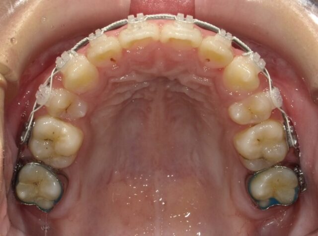
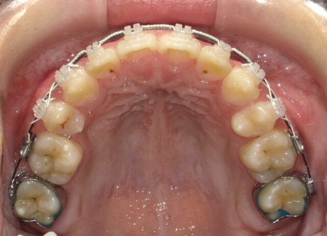
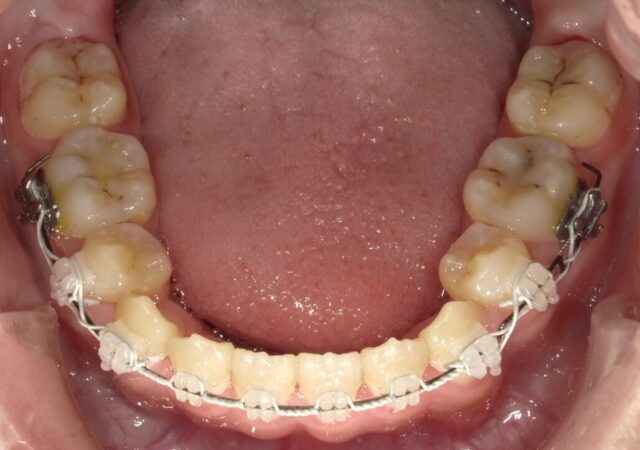
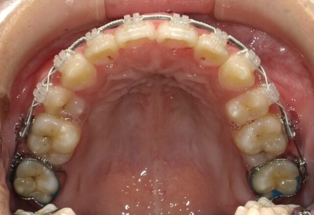
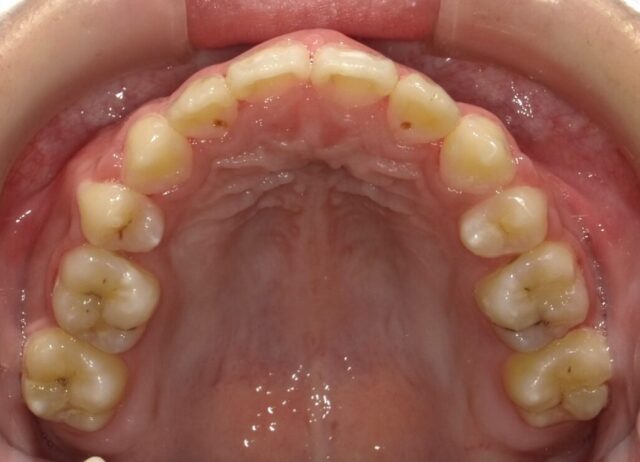
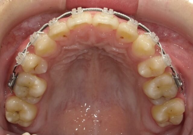
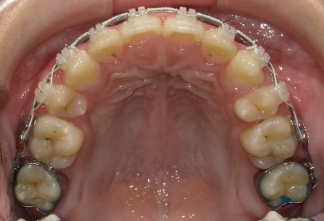
≪上顎咬合面観≫
2023年5月
2023年6月
2023年7月
2023年8月
2023年9月
2023年10月
2023年11月
2023年12月
2024年1月
2024年2月
2024年3月
2024年4月
2024年5月
2024年6月
2024年7月
2024年8月
2024年9月
2024年10月
2024年12月
2025年1月
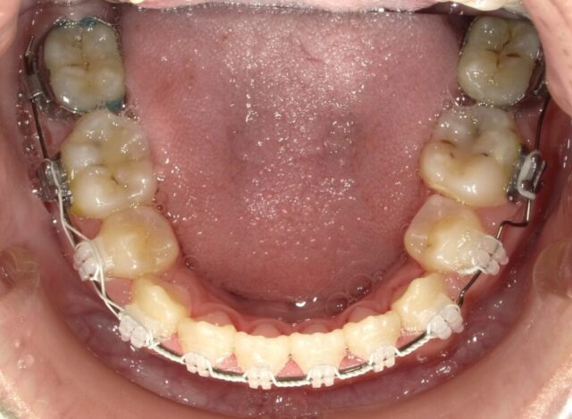
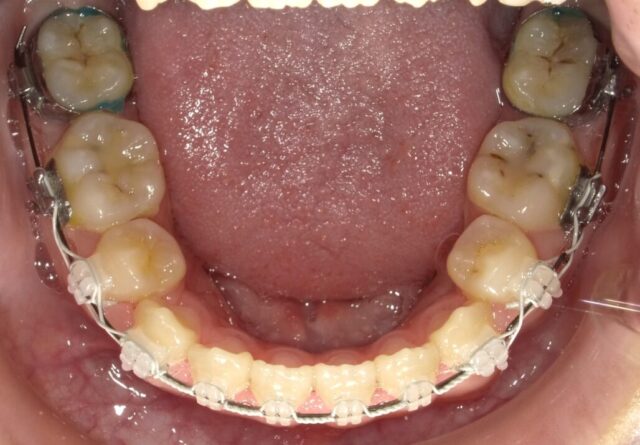
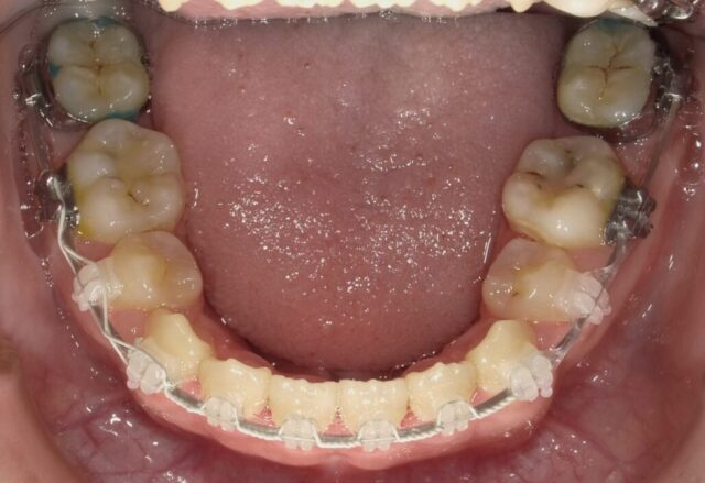
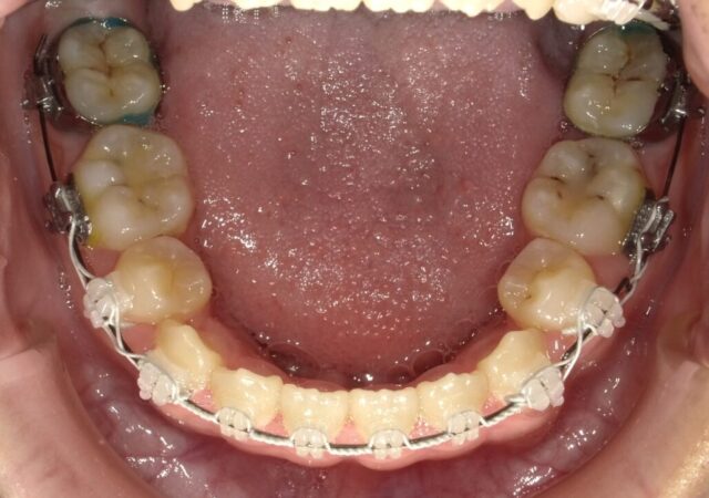
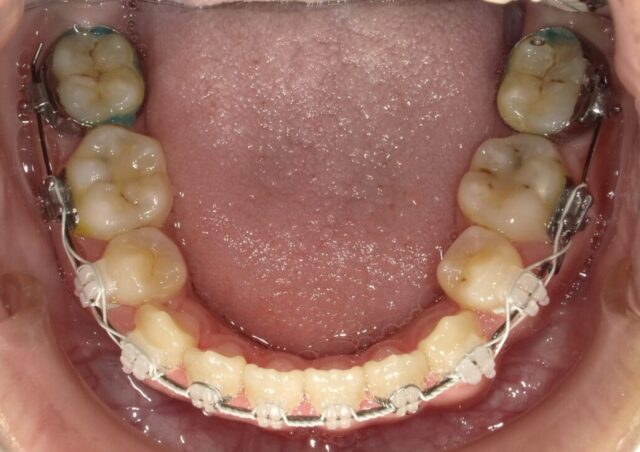
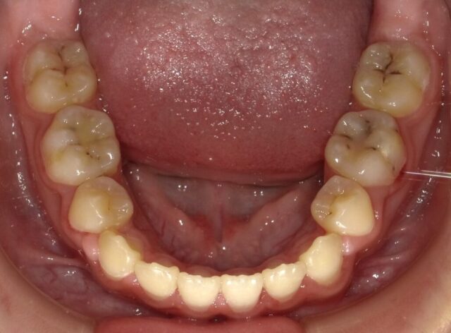
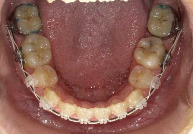
≪下顎咬合面観≫
2023年5月
2023年6月
2023年7月
2023年8月
2023年9月
2023年10月
2023年11月
2023年12月
2024年1月
2024年2月
2024年3月
2024年4月
2024年5月
2024年6月
2024年7月
2024年8月
2024年9月
2024年10月
2024年12月
2025年1月
《動的治療期間1年8ヶ月》
before
after
| 主訴 | 前歯のガタガタと舌っ足らずな発音 |
|---|---|
| 診断名 | 上顎前歯部叢生を伴う下顎前突 開咬 |
| 初診時年齢・性別 | 10歳8ヶ月・女子 |
| 治療期間 | 1段階目:5カ月 経過観察:1年 2段階目:20ヶ月~ |
| 治療方法・治療内容 | 1段階目:フェイシャルマスク 2段階目:ストレートワイヤーテクニック |
| 費用 | 検査診断料¥33,000、矯正基本料¥330,000、調整料¥16,500、経過観察料¥2,200、2段階目検査診断料¥5,500、 矯正基本料¥440,000 調整料¥104,500~ |
| デメリット・注意点 | 1段階目:フェイシャルマスク装着の違和感 2段階目:抜歯が必要・ブラケット装着の違和感・堅い物や大きい食べ物に注意が必要 |


































