4. 初診時年齢7歳10ヶ月 男児 2段階目保定中
- 受け口(下顎前突)
2014年3月
前歯が逆に咬んでいるので、矯正スタートしました。
この時はまだ2番目の歯は生えていません。 矢印は3番目の乳歯です。
2015年2月
2番目の歯が後ろ側に生えてきたので、3番目の乳歯を先に抜いて
表に出しています。また、6歳臼歯が前の歯のEという乳歯に
引っかかって萌出できない状態です。
2015年10月
6歳臼歯が萌出できるようにEを抜歯し、装置を6歳臼歯に付け替え
前歯と奥歯をコントロールしていきます。
2016年2月
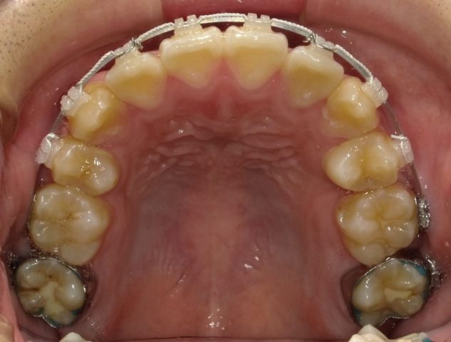
前歯と奥歯の関係が出来たので一端ブラケットを外しました。
これからリテーナーを使いながら、歯の生え変わりと
成長の様子を診ていきます。
2019年1月
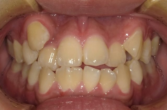
只今経過観察中です。身長も伸び、全て永久歯ですが
まだ生えていない歯があるので、前歯が逆ですが
このまま12歳臼歯が生えるまで、経過観察します。
2020年1月(13歳8ヶ月)
まだまだ経過を診ていきます。



2021年8月(15歳3ヶ月)
もう少し経過観察していきます。



2022年8月(16歳3ヶ月)
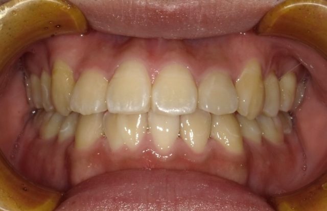
永久歯生え揃い、身長の伸びも落ち着いてきたので
2段階目スタートします。



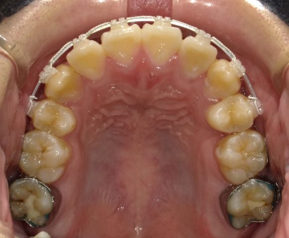
2023年1月(16歳8ヶ月)
顎の大きさに比べ、歯が大きいので抜歯してスタートします。
ここからは同じ部位の写真をつなげていきます。
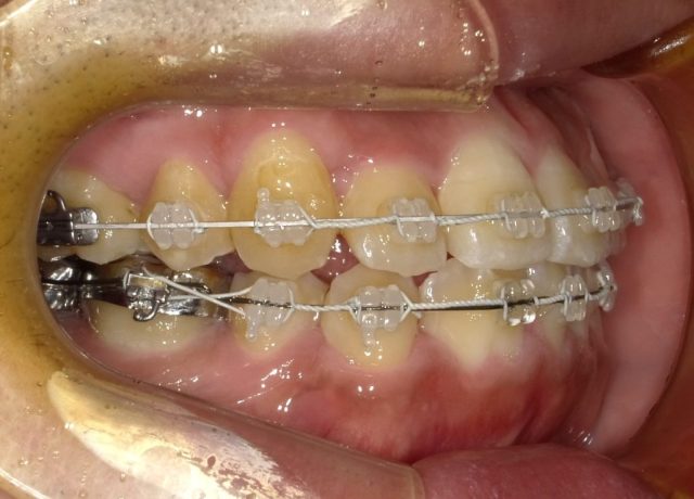
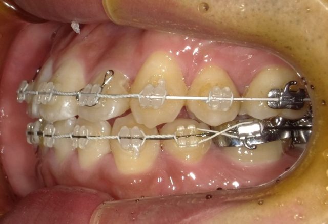
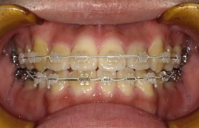
【正面観】
2023年1月
2023年2月
2023年3月
2023年4月
2023年5月
2023年6月
2023年7月
2023年8月
2023年9月
2023年10月
2023年11月
2023年12月
2024年1月
2024年2月
2024年3月
2024年4月
2024年5月
2024年6月
2024年7月
2024年8月
2024年9月
2024年10月
2024年11月
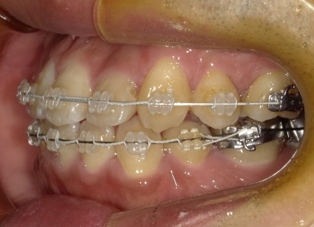
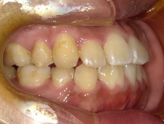
【右側面観】
2023年1月
2023年2月
2023年3月
2023年4月
2023年5月
2023年6月
2023年7月
2023年8月
2023年9月
2023年10月
2023年11月
2023年12月
2024年1月
2024年2月
2024年3月
2024年4月
2024年5月
2024年6月
2024年7月
2024年8月
2024年9月
2024年10月
2024年11月
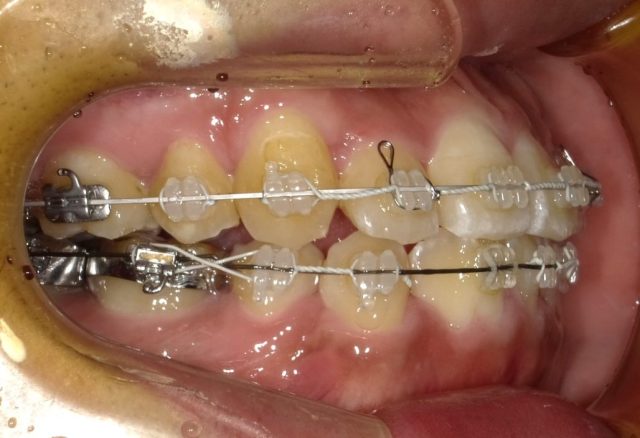
【左側面観】
2023年1月
2023年2月
2023年3月
2023年4月
2023年5月
2023年6月
2023年7月
2023年8月
2023年9月
2023年10月
2023年11月
2023年12月
2024年1月
2024年2月
2024年3月
2024年4月
2024年5月
2024年6月
2024年7月
2024年8月
2024年9月
2024年10月
2024年11月
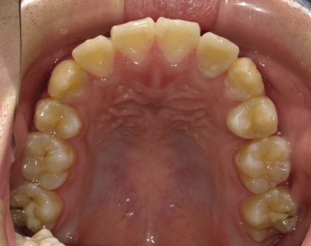
【上顎咬合面観】
2023年1月
2023年2月
2023年3月
2023年4月
2023年5月
2023年6月
2023年7月
2023年8月
2023年9月
2023年10月
2023年11月
2023年12月
2024年1月
2024年2月
2024年3月
2024年4月
2024年5月
2024年6月
2024年7月
2024年8月
2024年9月
2024年10月
2024年11月
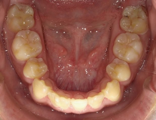
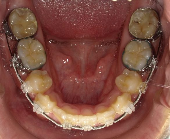
【下顎咬合面観】
2023年1月
2023年2月
2023年3月
2023年4月
2023年5月
2023年6月
2023年7月
2023年8月
2023年9月
2023年10月
2023年11月
2023年12月
2024年1月
2024年2月
2024年3月
2024年4月
2024年5月
2024年6月
2024年7月
2024年8月
2024年9月
2024年10月
2024年11月
【before ⇨ after】

| 主訴 | 前歯のガタガタ |
|---|---|
| 診断名 | 前歯部叢生を伴う下顎前突 |
| 初診時年齢・性別 | 7歳10ヶ月・男児 |
| 治療期間 | 1段階目:2年3ヶ月 経過観察:6年 2段階目:1年5ヶ月~ |
| 治療方法・治療内容 | 4本抜歯・フルブラケット・ストレートワイヤーテクニック |
| 費用 | 1段階目検査診断料¥315,00 1段階目矯正基本料¥315,000、調整料¥113,400 経過観察料¥11,000 2段階目検査診断料¥5,500 2段階目矯正基本料¥440,000 調整料¥121,000~ |
| デメリット・注意点 | 抜歯が必要・硬い物や大きい物など食事への配慮 |





























