17. 初診時年齢4歳9ヶ月 女児 只今経過観察中
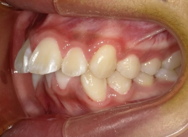
- 受け口(下顎前突)
2016年7月(4歳10ヶ月)
前歯が逆に咬んでいるので、矯正スタートしました。
取り外しの出来るムーシールドという装置で
咬み合わせをコントロールしていきます。

正面からのムーシールド(透明の部分)
横から見たムーシールド(透明の部分)
口の中から見たムーシールド(透明の部分)
ムーシールドは3歳から治療が可能ですが、本人にやる気があるかどうか
というところが重要になってきます。
ムーシールドとは、上あごや下あごにかかる異常な筋肉圧(頬、舌、唇)を
排除し、咬めない状態を作り、上あごが成長しやすい状況にする装置。
使用方法は毎晩寝るときに装着します。
2016年8月(4歳11ヶ月)
2017年2月(5歳5ヶ月)
毎晩しっかり使っているので、半年で効果が現れました。
初診時はちょっと怖くて使えなかった、お口を開く口角鈎を
すんなり使うことができました。
2018年5月(6歳8ヶ月)
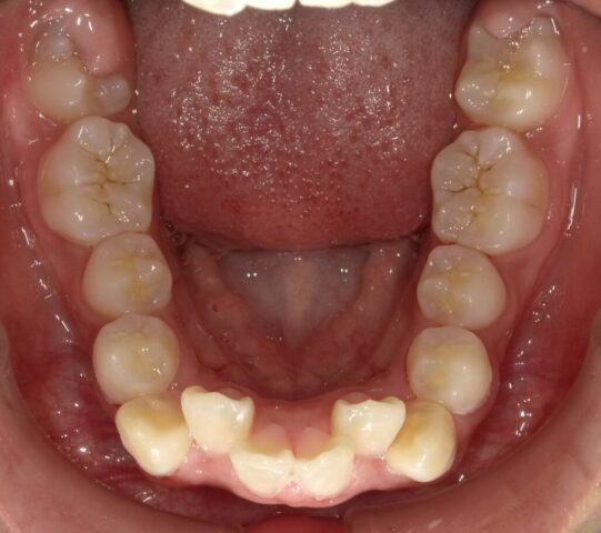
下の歯から生え変わりが始まりました。
乳歯列の時から隙間なく並んでいたので
これから更にガタガタになっていきます。
上下の顎のバランスは今のところ問題ありません。
2019年4月(7歳7ヶ月)
だいぶ生え変わってきました。上下の顎のバランスは問題ないですが
顎の大きさと、歯の大きさのバランスは合っていないので
まだまだガタガタになっていきます。
上の2番目の前歯が中に生えてしまったら
ブラケットを付けていきます。
2020年4月(8歳7ヶ月)
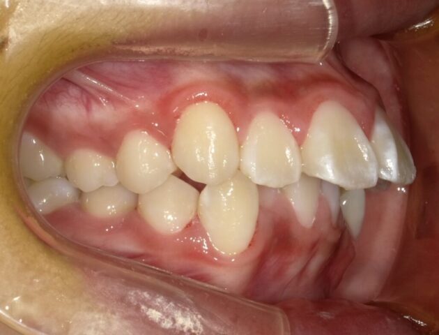
上の前歯4本生え揃いました。
このままでも問題ありませんが
装置を付けることを、楽しみにしていた様なので
ブラケットを装着して、前歯を綺麗に並べていきます。
2020年6月(8歳9ヶ月)
前歯、綺麗に揃いました。
下の前歯のガタガタが気になるかもしれませんが
今は治しても意味がないので、並べません。
今行えることは、1口30回、両方でしっかり咬むことです。
2020年8月(8歳10ヶ月)
上の前歯、綺麗に並んだのでブラケットを外しました。
下の歯は今並べても意味がないので手を付けません。
今できることは、1口30回しっかり咬むことです。
これからはある程度おさえるために
取り外しの出来る装置を使っていきます。
2021年4月(9歳6ヶ月)
リテーナーを1月に終了し、3ヶ月が経ちました。
12歳臼歯が生えるまでは、経過観察していきます。
2021年10月(10歳0ヶ月)
これからどんどん永久歯に生え変わっていきます。
下の前歯のガタガタが気になるとは思いますが
このまま経過観察していきます。
2022年5月(10歳7ヶ月)
乳歯はあと5本です。



2022年11月(11歳1ヶ月)
乳歯、下に2本残っています。



2023年5月(11歳7ヶ月)
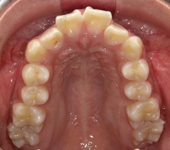
全て永久歯になりました。
あとは12歳臼歯を待ちます。



2023年12月(12歳2ヶ月)
12歳臼歯生え始めました。
しっかり出るまで経過を診ます。



2024年6月(12歳8ヶ月)
永久歯揃いました。
本人のやる気がでたら
2段階目スタートします。



| 主訴 | 反対咬合 |
|---|---|
| 診断名 | 前歯部反対咬合を伴う下顎前突 |
| 初診時年齢・性別 | 4歳9ヶ月・女児 |
| 治療期間 | 2年5ヶ月 |
| 治療方法・治療内容 | ムーシールド・2×4テクニック |
| 費用 | 検査診断料¥32,400、矯正基本料¥270,000、調整料¥59,400 経過観察料¥6,600~ (税込) |
| デメリット・注意点 | ブラケット・ムーシールド装着の違和感・硬い物や大きい物など食事への配慮 |

















































