16. 初診時年齢 8歳11ヶ月 女児 只今2段階目
- 出っ歯(上顎前突)
- 歯の凹凸(叢生)

2016年7月(8歳11ヶ月)
前歯の隙間が気になって1段階目の矯正スタートしました。
若干上あごの成長が旺盛なので、咬み合わせも
少し深い状態です。
2016年8月(9歳0ヶ月)
ブラケットを装着しました。まずは凸凹をとっていきます。
ペールピンクのカラーゴムで留めました。
2016年11月(9歳3ヶ月)
前歯4本綺麗に並びました。下の3番目の乳歯は生え変わり中です。
今回はラベンダーのカラーゴムで留めました。
次回から上あごのコントロールをしていきます。
2017年2月(9歳6ヶ月)
ヘッドギアを使って上あごのコントロールをしています。
深かった咬み合わせが上がってきています。
しっかり使っているので効果が出るのも早いです。
2017年4月(9歳8ヶ月)
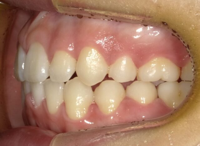
良い咬み合わせが出来たので、ブラケットを外しました。
これからは保定装置(リテーナー)を使いながら成長を見守ります。
2018年4月(10歳8ヶ月)
只今成長観察中です。

2019年4月(11歳8ヶ月)
まだ成長観察中です。

2020年10月(13歳2ヶ月)
まだまだ成長観察中です。

2021年10月(14歳2ヶ月)
もう少しで生え変わり完了、2段階目スタート予定です。

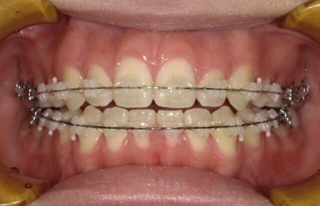
2022年7月(14歳11ヶ月)
2段階目の本格的矯正治療スタートです。
ここからは変化が分かりやすいように
同じ部位の写真をつなげていきます。
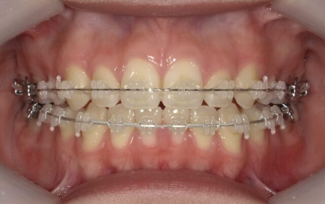
【正面観】
2022年7月
2023年1月
2023年2月
2023年3月
2023年4月
2023年5月
2023年6月
2023年7月
2023年8月
2023年9月
2023年10月
2023年11月
2023年12月
2024年1月
2024年2月
2024年3月
2024年5月
【右側面観】
2022年7月
2023年1月
2023年2月
2023年3月
2023年4月
2023年5月
2023年6月
2023年7月
2023年8月
2023年9月
2023年10月
2023年11月
2023年12月
2024年1月
2024年2月
2024年3月
2024年5月
【左側面観】
2022年7月
2023年1月
2023年2月
2023年3月
2023年4月
2023年5月
2023年6月
2023年7月
2023年8月
2023年9月
2023年10月
2023年11月
2023年12月
2024年1月
2024年2月
2024年3月
2024年5月
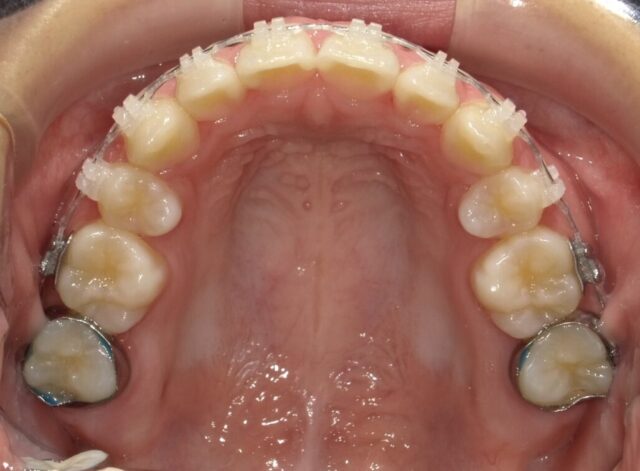
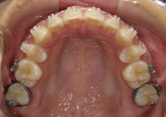
【上顎咬合面観】
2022年7月
2023年1月
2023年2月
2023年3月
2023年4月
2023年5月
2023年6月
2023年7月
2023年8月
2023年9月
2023年10月
2023年11月
2023年12月
2024年1月
2024年2月
2024年3月
2024年5月
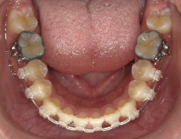
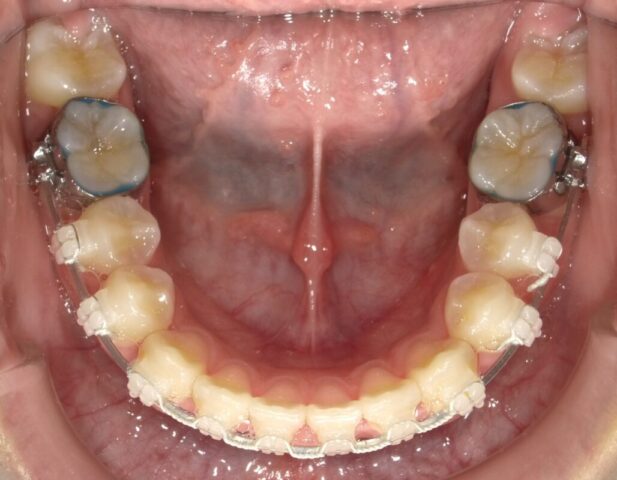
【下顎咬合面観】
2022年7月
2023年1月
2023年2月
2023年3月
2023年4月
2023年5月
2023年6月
2023年7月
2023年8月
2023年9月
2023年10月
2023年11月
2023年12月
2024年1月
2024年2月
2024年3月
2024年5月
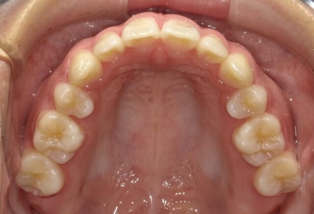
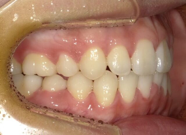
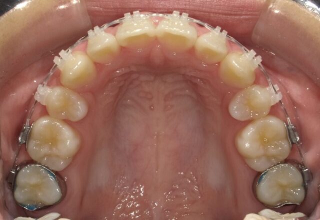
《動的治療期間1年5ヶ月》
before
after
| 主訴 | 前歯の隙間(初診時) |
|---|---|
| 診断名 | 上顎前突 |
| 初診時年齢・性別 | 8歳11ヶ月・女児 |
| 治療期間 | 1段階目:1年2ヶ月 経過観察:4年9ヶ月 2段階目:17ヶ月~ |
| 治療方法・治療内容 | 2本抜歯・フルブラケット・ストレートワイヤーテクニック |
| 費用 | 1段階目検査診断料¥32,400、1段階目矯正基本料¥324,000、調整料¥54,000、経過観察料¥7,700 2段階目検査診断料¥5,500 2段階目矯正基本料¥440,000 調整料¥82,500~ (税込) |
| デメリット・注意点 | 抜歯が必要・硬い物や大きい物など食事への配慮 |


















